Research Paper Volume 1, Issue 1 pp 58—67

Dual regulation of TERT activity through transcription and splicing by ΔNP63α

class="figure-viewer-img"

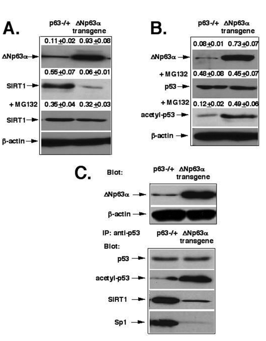
Figure 1. ΔNp63α mediates the SIRT1 degradation and p53 deacetylation. (A) The proteasome-dependent degradation of SIRT1. (B) The deacetylation of p53. (C) The protein complex formation between p53, SIRT1 and Sp1. Mice with heterozygous p63-/+ and ΔNp63αtransgenic expression were sources for epidermal keratinocytes [29,45]. Total lysates (2x105 cells) were used for immunoblotting with indicated antibodies (dilutions: anti-ΔNp63, 1:500; anti-SIRT1, 1:300; anti-β-actin, 1:400; anti-p53, 1:500; anti-acetyl-p53, 1:400; anti-Sp1, 1:300). Cells were also treated with the proteasome inhibitor, MG-132 (20 μg/ml) for 24 h before lysis. For immuno-precipitation (IP) experiments, we used total lysates obtained from 1x106 cells/500 μl and anti-p53 antibodies (10 μg/500μl). Blots were quantitatively scanned using the PhosphorImager and all of the data (mean +SD) were from at least three independent experiments.