Research Paper Volume 10, Issue 6 pp 1324—1337

Integrated DNA methylation and gene expression analysis identifies SLAMF7 as a key regulator of atherosclerosis

class="figure-viewer-img"

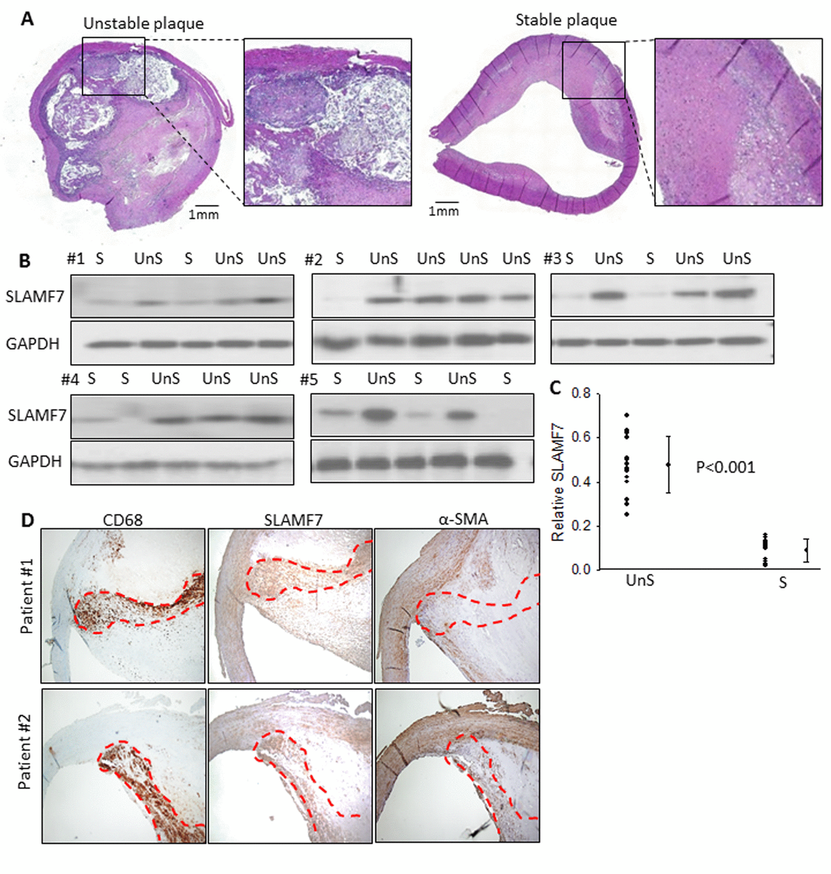
Figure 3. SLAMF7 expresses significantly higher in the UnS plaques than in the S plaques. (A) Representative histological H&E staining of UnS and S plaques in our study. (B) Protein expression of SLAMF7 was evaluated in the total of 15 UnS and 10 S plaques. Western Blot analyses were performed in 5 batches (#1-5) when patients were enrolled consecutively, GAPDH was used as internal control. (C) Quantification of the SLAMF7 expression in UnS vs. S plaques of the Western Blot. P<0.001, by Rank sum test. (D) Serial tissue sections from 2 individual patients were stained with anti-CD68, SLAMF7 and α-SMA antibodies. Red dash line segmented CD68+ macrophage area.