Research Paper Volume 10, Issue 6 pp 1390—1401

Five ETS family members, ELF-1, ETV-4, ETV-3L, ETS-1, and ETS-2 upregulate human leukocyte-associated immunoglobulin-like receptor-1 gene basic promoter activity

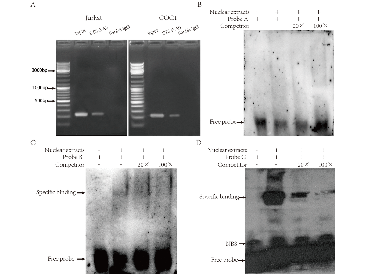
class="figure-viewer-img"

Figure 6. Binding of ETS-2 to the human LAIR-1 gene basic promoter. (A) CHIP assays. Chromatins from Jurkat (Left) and COC1 cells (Right) were prepared. Shown are the PCR products from: Lane 1, Chromatin before immunoprecipitation (input chromatin); Lane 2, Chromatin incubated with rabbit anti-ETS-2 antibodies; Lane 3, Chromatin incubated with negative control (normal rabbit IgG). (B, C and D) Electrophoretic mobility shift assays (EMSA). Nuclear extracts from Hela cells were subjected to EMSA. The use of biotin-labeled oligonucleotide probes A, B and C carrying the ETS binding site A, B and C, respectively, allowed assessment of the specificity of the protein-DNA binding. Competitors were unlabeled oligonucleotide probes, supplied at 20-fold and 100-fold concentrations. Specific binding: protein-DNA complexes of proteins and the probes. NSB: nonspecific binding. Free probe: free biotin-labeled oligonucleotide probes that did not bind to the proteins. The experiments were repeated at least three times.