Research Paper Volume 13, Issue 10 pp 13859—13875

Curcumin inhibits the proliferation and migration of vascular smooth muscle cells by targeting the chemerin / CMKLR1 / LCN2 axis

class="figure-viewer-img"

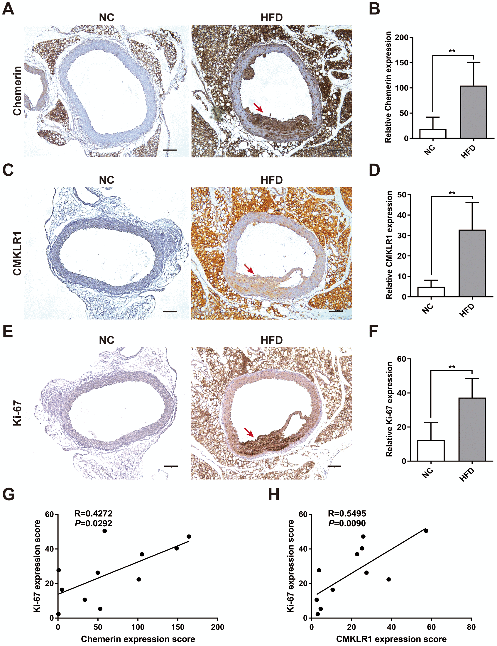
Figure 1. Chemerin / CMKLR1 is overexpressed in the aorta tissues of HFD ApoE-/- mice. A high fat diet (HFD) apo-lipoprotein E−/− (ApoE-/-) mouse model was established to determine the expression of the chemerin / chemokine-like receptor 1 (CMKLR1) axis in atherosclerotic aorta tissues. (A) Immunohistochemical (IHC) analysis of chemerin expression in aorta tissues of negative control (NC, n = 5) and HFD (n = 6) mice. Scale bar = 100 μm. Red arrows indicate plaques. (B) The chemerin expression score analysis data are presented as means ± standard deviations (SDs). **, p< 0.01. (C) Representative images of CMKLR1 expression in aorta tissues following IHC analysis. Scale bar = 100 μm. Red arrows indicate plaques. (D) CMKLR1 expression score analysis. **, p< 0.01. (E, F) IHC analysis of Ki-67 expression in the aorta tissues of normal and HFD mice. Scale bar = 100 μm. Red arrows indicate plaques. Data from Ki-67 expression score analysis are presented as means ± SDs. **, p< 0.01. (G, H) The correlations of chemerin / CMKLR1 and Ki-67 were calculated using the Spearman method.