Research Paper Volume 14, Issue 6 pp 2748—2757

Ischemic postconditioning protects nonculprit coronary arteries against ischemia-reperfusion injury via downregulating miR-92a, miR-328 and miR-494

class="figure-viewer-img"

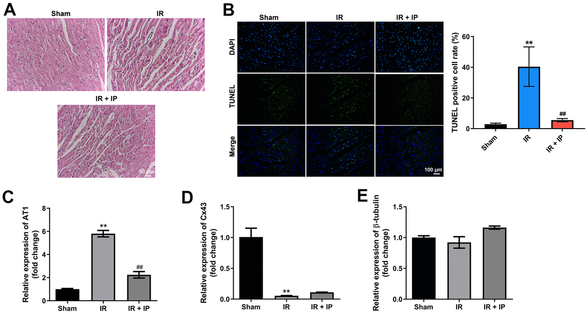
Figure 3. IP protected myocardial tissues against IR injury. (A) H&E staining assay was conducted to observe the morphology of nonculprit myocardial tissues. (B) TUNEL and DAPI staining assay was performed to detect the apoptosis of nonculprit myocardial tissues. (CE) RT-qPCR assay was used to detect the expression of AT1, Cx43 and β-tubulin. **P<0.01 compared with the sham group; ##P<0.01 compared with the IR group.