Research Paper Volume 15, Issue 9 pp 3381—3393

PI3K-Akt signaling pathway based on network pharmacology for the anti-Alzheimer’s disease effect of licorice stem flavonoids

class="figure-viewer-img"

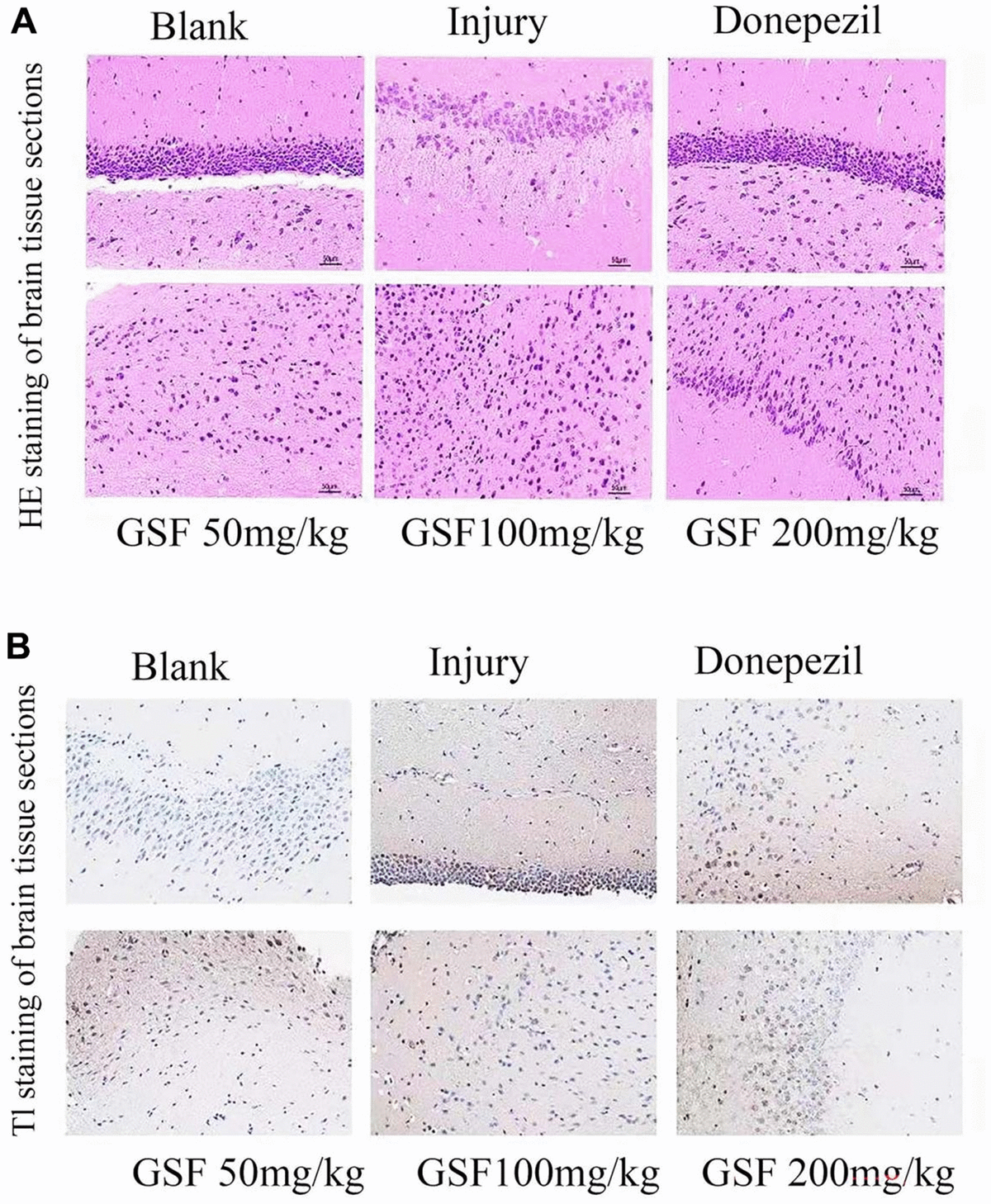
Figure 5. Staining of mouse hippocampal sections (A) HE staining of mouse hippocampal sections. (B) TUNEL staining of mouse hippocampal sections.