Research Paper Volume 8, Issue 12 pp 3468—3485

Naked mole-rats maintain healthy skeletal muscle and Complex IV mitochondrial enzyme function into old age

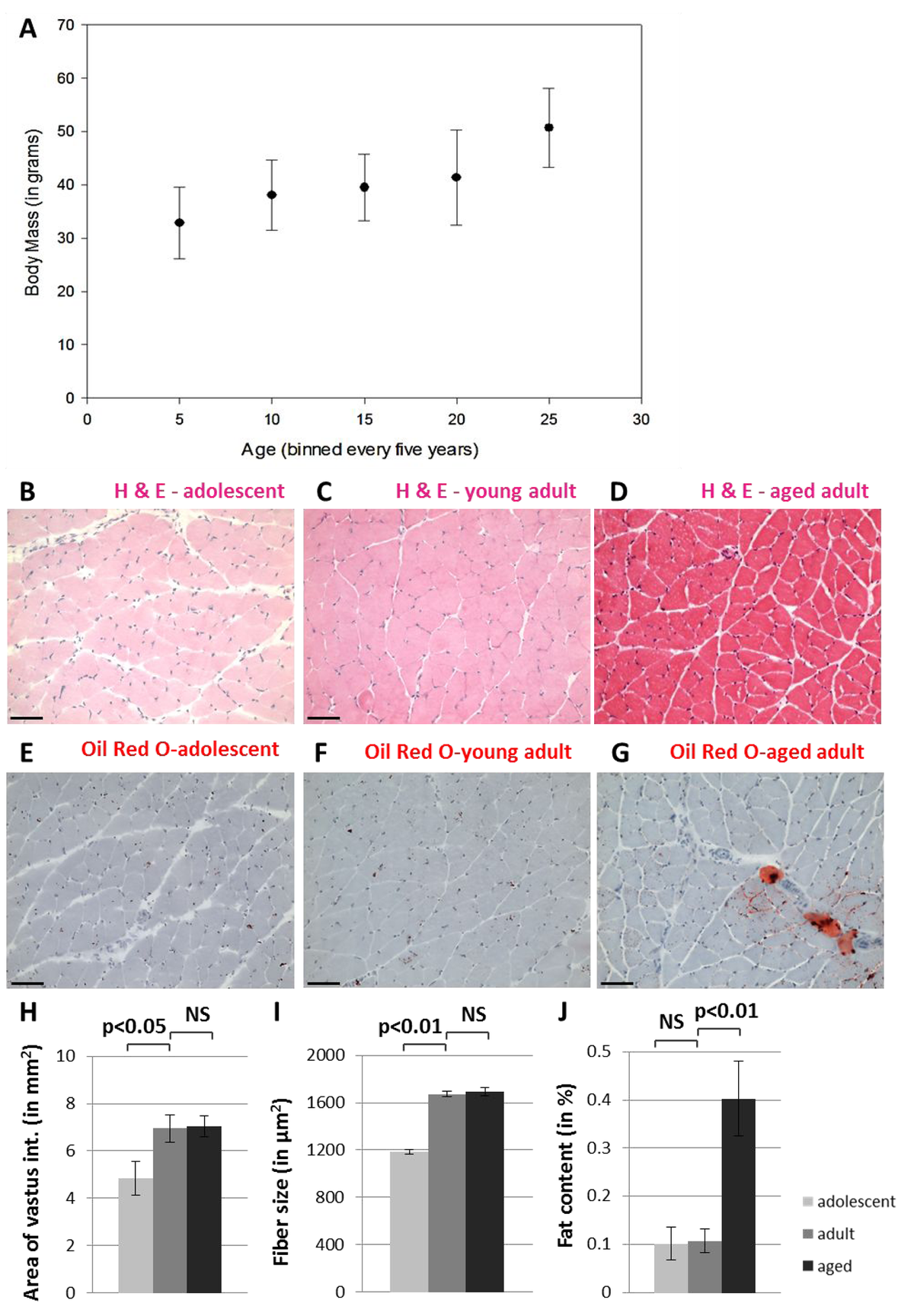
class="figure-viewer-img"

Figure 1. Naked mole-rats do not undergo muscle atrophy during the first twenty years of life. NMR body size continues to grow into late middle age (A). Hematoxylin and eosin staining shows grossly normal quadriceps skeletal muscle in adolescent (B), young adult (C), and aged adult (D) NMR. Tissues from adolescent (E), young adult (F), and aged adult (G) NMR quadriceps muscle tissues stained with Oil Red O demonstrate fat deposits. Cross-sectional area of the entire vastus intermedius muscle increases significantly between adolescents and young adults, but does not change upon further aging (H). Individual skeletal muscle fibers grow significantly larger during maturation but do not change upon further aging (I). Fat content of the entire vastus intermedius muscle increases significantly during late adulthood (J). Scale bars signify 100 microns.