Research Paper Volume 11, Issue 18 pp 7339—7356

Leonurine ameliorates D-galactose-induced aging in mice through activation of the Nrf2 signalling pathway

class="figure-viewer-img"

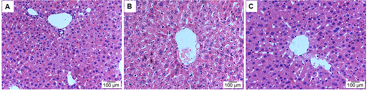
Figure 5. Effect of leonurine treatment on liver histopathological alterations. (A) Control group; (B) Model group; (C) Leonurine group. H&E staining, magnification 200×.