Research Paper Volume 11, Issue 24 pp 12773—12792

KIFC1 is essential for normal spermatogenesis and its depletion results in early germ cell apoptosis in the Kuruma shrimp, Penaeus (Marsupenaeus) japonicus

class="figure-viewer-img"

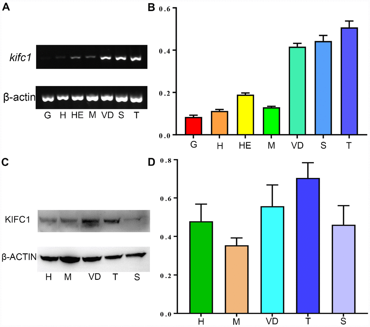
Figure 5. The expression of KIFC1 in different tissues. (A) kifc1 mRNA expression in various P. japonicus tissues was shown by semi-quantitative RT-PCR analysis in the upper panel. The lower panel, β-actin, was used as a positive control. (B) A quantitative analysis of kifc1 mRNA expression in various P. japonicus tissues was shown by Image J. The highest expression of kifc1 appears in the testis. (C) The expression of KIFC1 protein in various P. japonicus tissues was shown in the upper panel by western blot. The lower panel, β-actin, was used as a positive control. (D) A quantitative analysis of KIFC1 expression in various P. japonicus tissues was shown by Image J. G: gill, H: heart, HE: hepatopancreas, M: muscle, S: spermatophore, T: testis, VD: vas deferens.