Research Paper Volume 12, Issue 16 pp 15978—15994

A human MMTV-like betaretrovirus linked to breast cancer has been present in humans at least since the copper age

class="figure-viewer-img"

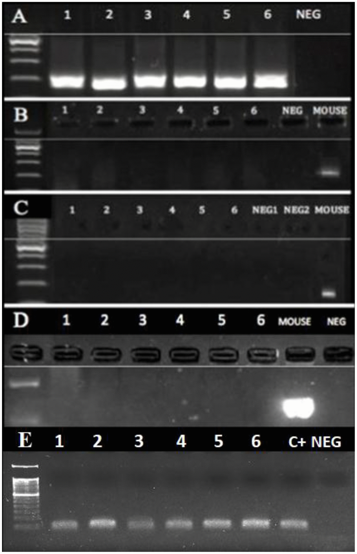
Figure 4. PCR of DNA extracted from the dental calculus. No mouse DNA was present in the six human cases (1-6) that were positive for MMTVels. (A) A 16S rRNA V3 region; all human cases were positive, whereas NEG was the negative control. (B) Intracisternal A Particle (IAP) LTRs; all the human cases were negative, as well as the negative control, whereas the mouse DNA was positive. (C) Murine mitochondrial DNA (mtDNA); all human cases were negative, whereas the mouse DNA was positive. (D) Murine GADPH; all the human cases were negative, whereas the mouse DNA was positive. (E) Human GADPH; all the human cases were positive; c+: a positive human control; neg: a negative control.