Research Paper Volume 14, Issue 1 pp 443—461

PEGylation and antioxidant effects of a human glutathione peroxidase 1 mutant

class="figure-viewer-img"

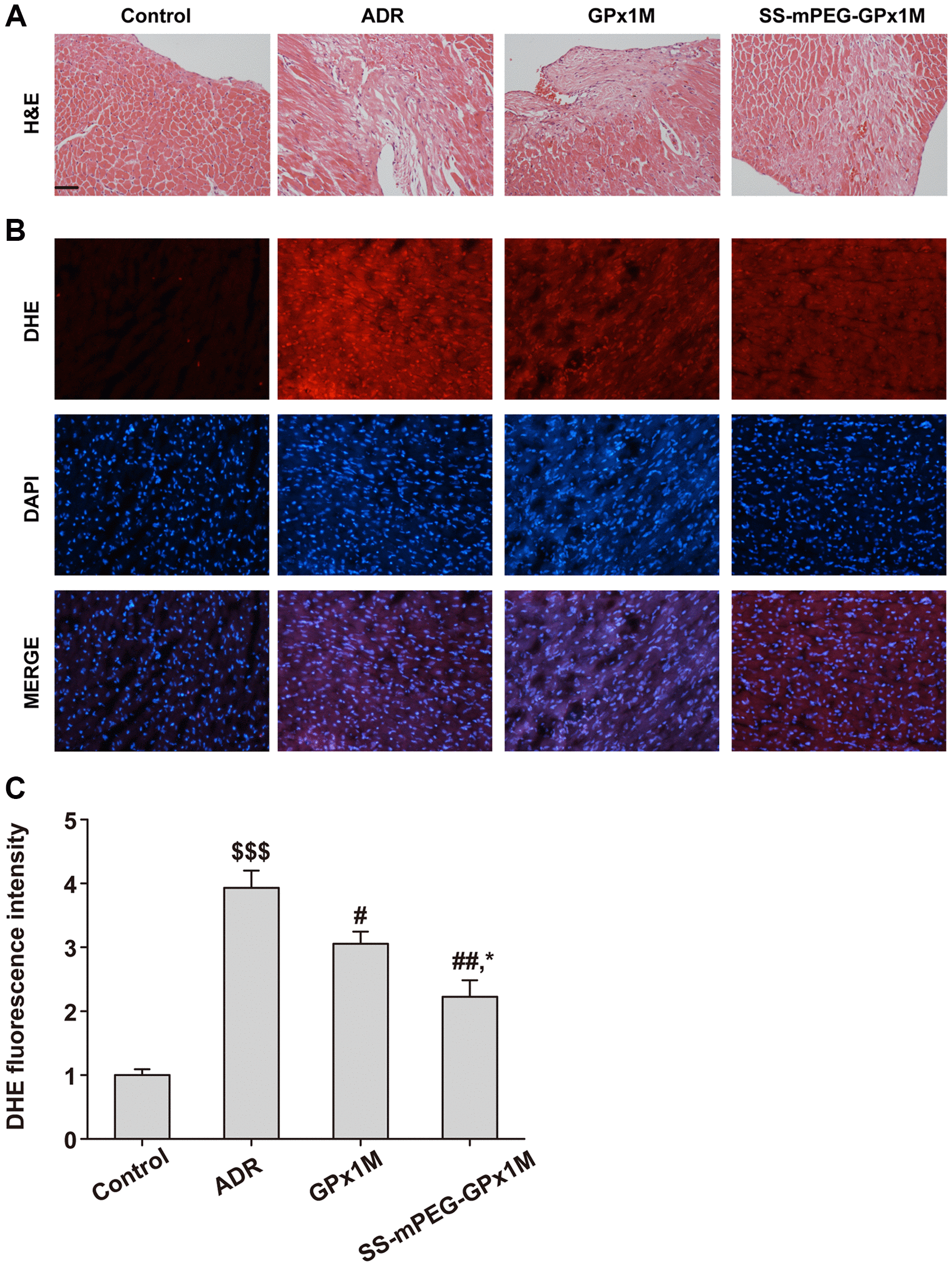
Figure 11. Histopathological changes and ROS measurement in all groups. (A) Analysis of histological evaluation in rat heart tissue using H&E. (B) Determination the accumulation of ROS in rat heart by DHE staining. (C) DHE fluorescence intensity of each group. Scale bars, 100 μm. All data were exhibited as mean ± SD. $$$p < 0.001 vs. the control group, #p < 0.05 and ##p < 0.01 vs. the ADR group, and *p < 0.05 vs. the GPx1M group.