Research Paper Volume 15, Issue 1 pp 276—286

Effects of NBP on postoperative cognitive dysfunction in rats via Nrf 2/ARE pathway

class="figure-viewer-img"

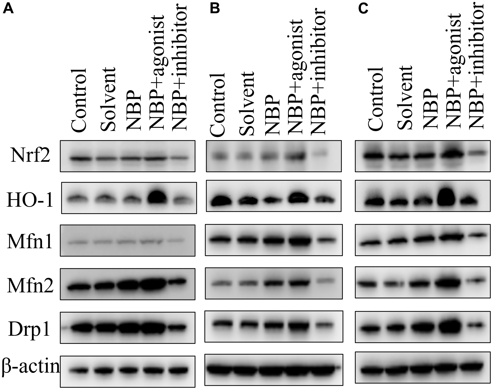
Figure 3. NBP’s effects on the expressions of Nrf2, Mfn1, Mfn2, and Drp1 in hippocampal tissues by Western blots. (A) one day after the operation. (B) three days after the operation. (C) five days after the operation.